IG常分享凱開和我們生活的日常,歡迎追蹤,點⬇️連結 : https://www.instagram.com/deb.c.shen/
2018.12.18
已經快進入第一孕期的尾聲,快要能跟親朋好友們分享喜悅的同時,也到了要決定產檢的地點。完全沒有經驗的我們,選擇了2間比較有知名度的「李木生婦產科」及「禾馨婦產科」,決定後也會為生產的婦產科。沒有考慮在大醫院生產,因為我還是在意環境,大醫院太有醫院感,很像生病住院的感覺,婦產科雖然會在獨立樓層但還是不考慮。
李木生婦產科 -
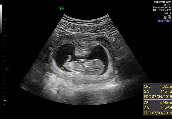
因為知道知名的李醫師門診都需要無限的等待,所以我上網看了一下醫生名單,覺得陳星佑醫師看起來好和藹,感覺會是個有耐心及愛心的醫師,所以就直接預約。對於李木生婦產科的印象,就是覺得wow好時尚高級的裝潢;R覺得居然會有這樣的婦產科存在,實在太神奇了。今天預約的是晚診,於6點半開始看診,我預約7號,想說應該不會看很久吧;在1樓報到填寫完初診單的基本資料並付掛號費後,來到了3樓,也太多人在等了吧(還有下午診的看到現在,因為醫師會看診到一半需要去接生)!!到樓上後護士會先核對資料,然後告知一些需要自費的收費方式(如超音波費用,藥物費用,拋棄式鴨嘴等),就開始等待!等待的時候,我們發現這裡的缺點就是沒有隱私,因為空間小,若診間門沒關其實都可以聽到對話;另外一個缺點就是產科和婦科沒有分開,同一個醫師會同時看這2科,因此會加長等待時間。但說真的,我真的沒有預料等4個號碼居然等了2個小時(提早到號碼也會提前),這一等真的嚇到我們,還以為號碼前面應該很快就會看到診,因此沒有吃晚餐,2個人餓昏了。
終於聽到護士叫我的名字,照慣例要先照超音波確認寶寶的健康;護士以為我是來確認心跳的,當我告知已經11週他一直微笑說「不好意思,那從肚子照就好了啦」。跟醫師說因為是做試管,現在比較穩定後要轉到婦產科做產檢,陳星佑醫師真的就跟照片一樣,非常~和藹,是我很喜歡的醫師的感覺,讓我們看了寶寶也聽了心跳,還看了3D,第一次看到立體的寶寶,好可愛,一樣很活潑好動的舞動著。確認寶寶後就是確認我有沒有不舒服,告知孕吐很嚴重,醫師開了止吐藥和消脹氣的藥,醫師說止吐藥需要時吃,不用擔心會影響寶寶,因為吐反而會讓腹部用力更不好。另外也告知一些自費的檢查,例如測D3是否足夠,NIFTY+檢測(還在跟R討論到底要做穿刺還是抽血),子宮癲癇症(但因為我有阿斯匹林過敏,所以醫師在意若驗出來為高危險群,一般是使用阿斯匹林控制,但我就只能觀察,所以希望檢查出來沒問題。
看完診後就是抽血,做第一次政府補助的產檢項目,然後今天,發放了「媽媽手冊」!!拿到的時候好不真實,好感動!雖然還沒有確定是否會在這產檢及生產,但還是有預約下次回診。除了提到的2個缺點外,真的很喜歡這裡的醫師和護士,很辛苦的他們臉上都還掛著笑容。
12/22 初期唐氏症篩檢+子癲前症風險
原本想說等去了「禾馨」後,在決定第一次的產檢的項目等要在哪裡檢查,殊不知禮拜一去「李木生」後,護士就先幫我約了今天做初唐篩檢;但其實原本今天要檢查什麼我是不知道的,我一直以為是要來看抽血報告之類的,到了婦產科才知道是要做初唐篩檢。所以既然都來了,就先檢查吧!台北市政府好像有補助檢查費用給台北市民,所以今天我只需要在付差額$800(但他們沒有解說原本的費用是多少,補助是多少)。
今天的檢查還好不需要排隊,不讓禮拜六門診的人數真的不是開玩笑的。在填寫完基本資料後,就開始掃超音波,超音波技師非常的安靜,沒有多做講解,我問說「請問是等一下醫生會在講解嗎?」,他回說他先確認寶寶位置在解說。開始解說的時候,是有解說,但是是非常快速的帶過,有看到鼻骨、透明頸的高度、手、腳、頭骨等,但是都是點到就跳過,所以我一時有點無法吸收技師快速的解說,幾乎馬上就忘記。還好照完後,影像會直接傳送到木生APP,我可以慢慢看;基本上就是「正常」。除了初唐的抽血項目外,有在加做子癲前症抽血檢查,但NIFTY+還在考慮中,所以沒有一起抽(如果2項一起抽會有優惠,原價$27200,優惠$26200)。但回家跟家人討論及上網做了些功課後,還是決定會回去補抽做NIFTY+。
原本是要考慮去「禾馨」時,在問問NIFTY+,但禾馨配合的慧智基因價位比較高,雖然標榜業界最快出報告,但覺得「李木生」配合的基康基因檢查項目已經夠多,足夠了。回家上網做比較的時候,才發現禾馨的初唐篩檢報告是當天就可以拿到,而且邊掃超音波會邊做詳細解說,所以有點後悔沒有等到禾馨時才做。
雖然第一次產檢項目該做的都做了,但因為有考慮之後會到禾馨生產,所以還是有約『禾馨』。
附上檢查後的幾張影像,和一張外星人的3D照。


2019.01.07
禾馨民權婦幼診所

原本期待明天讓我們仰慕已久的『蘇怡寧』醫師看診,但因為R明天無法陪同前往所以改成今天看診。
雖然診所位於內湖,但也沒有離我們很遠,到達診所因為有專屬停車場,這一點就贏過了之前產檢的婦產科。禾馨和李木生相同點為整棟大樓都為診所所有,沒有閒雜人等進出,也因為這個原因所以當初沒有選擇大醫院。禾馨民權整體的空間很寬廣,但是等待在診的人數也是非常的多。因為今天沒有指定醫師,所以於櫃檯旁的機器抽取號碼牌後,到號碼時到櫃台先填寫初診單,然後安排看診醫生,再到旁邊的診療區由護理人員量血壓、體重和驗尿蛋白,初步的檢查完後就到這間門等帶看診。等了30分鐘左右就到我們進診間,除了醫師和一位護理人員外,沒有看到其他的人在診間,相對的就不會聽到別人的看診過程。今天的醫師是薛亞蓮醫師,非常的親切,講話好溫柔,因為沒有特別的問題所以直接做例行的超音波檢查,照超音波時非常的仔細,讓我們看了寶寶的長度,頭圍,手腳的骨頭,並告知之後產檢會比較以頭圍為主,不會再另外告知寶寶的長度囉。原本想嘗試看看寶寶的性別,但今天寶寶很害羞的趴著不讓我們看,只能等下次產檢在揭曉。因為還是嚴重脹氣,會導致想吐,所以還是有開一些消脹氣的藥並告知都是孕婦可以安心使用的藥品,不用擔心。看診完就到外面機器抽取繳費的號碼牌,到號繳費時,可以選擇現金或信用卡。繳費後若有需要拿藥,在到領藥櫃檯,藥劑師會核對開立的藥品及告知使用方式。愉快又快速的看診經驗結束。就這樣決定會固定於禾馨民權產檢,也會在此生產。
下面為寶寶今天趴著的特寫,有乖乖長大喔。

